
The surface story
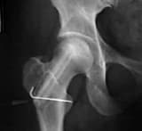
A 45 year-old lady has been having severe pain near her right hip joint for the last 30 years as a result of which she finds walking painful. She was diagnosed as a case of avascular necrosis of the femur head.
According to Wikipedia:
“The amount of disability that results from avascular necrosis depends on what part of the bone is affected, how large an area is involved, and how effectively the bone rebuilds itself. The process of bone rebuilding takes place after an injury as well as during normal growth. Normally, bone continuously breaks down and rebuilds—old bone is reabsorbed and replaced with new bone. The process keeps the skeleton strong and helps it to maintain a balance of minerals. In the course of avascular necrosis, however, the healing process is usually ineffective and the bone tissues break down faster than the body can repair them. If left untreated, the disease progresses, the bone collapses, and the joint surface breaks down, leading to pain and arthritis.“
She has been managing this pain with hot fomentation and occasionally with analgesics. The pain started to intensify 5 years ago. The only alternative is a hip replacement surgery. Though expensive, her husband is willing to arrange a loan for the operation. However she has no calling from within to undergo the surgery. At this point of time, her husband came in touch with an Integral Health forum and introduced his wife to this new concept. After three meetings in three weeks, a remarkable shift occurred.
The inner story unfolds
As the first child of a lower middle-class family she has 4 younger sisters and one younger brother. From the age of 3 she was a strict vegetarian with a strong inclination for idol worship. At the age of 12, she fell from a swing and broke her right leg for which she was confined to bed for 3 months. Why did this happen? She got the answer herself: on that very day she had been forced to take non-vegetarian food by a relative which created a deep anguish. Perhaps that caused an imbalance in the inner being which precipitated the accident. So she started reading the Gita and made it a part of her life.
She started walking with mainly one leg. Each step was painful. With that pain she continued her school and college education. Her father would give her money to hire a rickshaw, but she would save it for her sisters and continue walking with all the pain. There was another thought: did this enforced walking of 5-6 km daily aggravate her condition? Was the usual conflict between duty for others as opposed to oneself now arising? During this period she also developed gastritis and migraine.
She then got a job reserved for physically-handicapped people which became a huge financial relief for her family. She sensed a divine justice in her pain and accepted firmly that her condition was an expression of divine will. She decided not to marry and devoted her entire life to the family. She successfully arranged the marriages of her four sisters and found employment for her brother. After that she got married to a homoeopathic doctor but then a new ordeal started.
She could not get along with her mother-in-law who was a compulsive liar. Again and again, she would hurt her and make her feel guilty. She felt that there was no point in reading the Gita and worshipping daily and then fighting with her mother-in-law. She stopped all her spiritual practices which she had been doing from the age of 12.
She also had two lowbirth-weight babies whose care was too cumbersome. Her job responsibility in the office also increased day by day. Crushed between job and family, she developed a stoic acceptance of her pain. Life was too hectic to think about that.
Gradually the pain became worse, so her husband decided to do something about it. They started consulting different surgeons about hip replacement therapy.
Reflections based on Integral Health
An illness of the body is always the outer expression and translation of a disorder, a disharmony in the inner being; unless this inner disorder is healed, the outer cure cannot be total and permanent.
She started exploring her inner disharmony and found a few things which had induced this:
• Enforced eating of non-vegetarian food on the day of her accident.
• Not using the money given to provide rest for her leg.
• Conflict with mother-in-law.
• Too busy with job and family.
• Strong sense of lagging behind spiritually.
In integral Health, disease is disharmony and provides an occasion to raise one’s consciousness to a higher level of harmony.
So she reflected back and saw what this illness had given her:
• she never asked God to reduce the pain, so she developed a truer love which was above the give and take love of ordinary mortals.
• She accepted everything as the will of God and thereby developed an endurance to move through all adverse situations in life.
• She took this pain as a test which she had to face all her life and thereby developed the courage to face all kinds of pain — physical, emotional, financial and social.
• She took this illness as a grace of God as it was instrumental in getting her the job that had saved her family from financial ruin and thereby developed a gratitude to God.
• Above all, she never allowed the pain to diminish her life activities in any way. She developed a kind of yogic equanimity.
Since embarking on her journey into Integral Health over 3 weeks, she has experienced a few changes, small but significant, according to the observations of her husband:
• she brought back all her spiritual books and photo of Lord Krishna which had been locked away for the last 15 years.
• She now strongly feels that she can manage her pain without hip replacement surgery by confronting her inner disharmony, especially by improving her relationship with her mother-in-law and focusing more and more on her spiritual development.
• Her husband says that she had never wanted to come out of their home in the last 15 years but now is full of energy and enthusiasm and attending Integral Health sessions.
This is not the end, but just a beginning....


