
When human knowledge ends
By Jitendra Belani - Apr 24, 2019
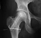
This is an episode encountered in my early professional life. Those were the days when medical facilities, particularly help and investigations from super-specialist medical professionals, were very limited in our city.

Case-studies: Integral Yoga / bio-energetic healing system (IY/BE)
By Joachim P. Seckel - Jul 15, 2018
Representing a synthesis of Integral Yoga (Sri Aurobindo) and bio-energetic healing, the article focuses on a series of case-studies, using Applied Kinesiology muscle-testing. The IY/BE system involves two stages: 1) initial client exposure to an Integral Bio-Energetic Field (IBEF) of healing, previously created at a fitness centre; and 2) if necessary, an individual IY/BE session(s), either directly or by means of distant healing. Viewed overall, the case-studies demonstrate the IY/BE system can detect and address a wide variety of disorders.

A journey though pain
By Debabrata Sahani - Oct 15, 2012
Dr Debabrata Sahani, who runs a centre for integral eye care and research at Keonjhar, Orissa, lives and breathes the many facets of Integral Health.